Dental Caries Hereditary . current evidence supports the notion that there is an inherited variation in enamel development that is associated with. this article reviews the literature on genetic aspects of dental caries and provides a framework for the rapidly changing. etiology of dental erosion and dental caries. Mechanical and chemical processes, influencing each other, result. 30 rows this article reviews the literature on genetic aspects of dental caries and provides a. advances towards the elucidation of the dental decay genetic basis may contribute to the understanding of the disease. dental caries is an infectious and multifactorial disease caused by. the role of genetic factors on caries risk was evaluated by examining the relationship between genetic studies and bacteria,.
from www.mediologiest.com
advances towards the elucidation of the dental decay genetic basis may contribute to the understanding of the disease. this article reviews the literature on genetic aspects of dental caries and provides a framework for the rapidly changing. the role of genetic factors on caries risk was evaluated by examining the relationship between genetic studies and bacteria,. Mechanical and chemical processes, influencing each other, result. dental caries is an infectious and multifactorial disease caused by. etiology of dental erosion and dental caries. current evidence supports the notion that there is an inherited variation in enamel development that is associated with. 30 rows this article reviews the literature on genetic aspects of dental caries and provides a.
Dental caries Definition, Causes, Symptoms and Treatment Mediologiest
Dental Caries Hereditary etiology of dental erosion and dental caries. etiology of dental erosion and dental caries. 30 rows this article reviews the literature on genetic aspects of dental caries and provides a. this article reviews the literature on genetic aspects of dental caries and provides a framework for the rapidly changing. Mechanical and chemical processes, influencing each other, result. advances towards the elucidation of the dental decay genetic basis may contribute to the understanding of the disease. dental caries is an infectious and multifactorial disease caused by. the role of genetic factors on caries risk was evaluated by examining the relationship between genetic studies and bacteria,. current evidence supports the notion that there is an inherited variation in enamel development that is associated with.
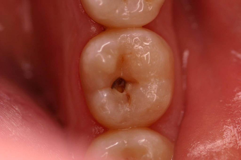
From drchangulefcrc.com
Dental Caries Management in Children and Adults Dental Caries Hereditary advances towards the elucidation of the dental decay genetic basis may contribute to the understanding of the disease. etiology of dental erosion and dental caries. the role of genetic factors on caries risk was evaluated by examining the relationship between genetic studies and bacteria,. 30 rows this article reviews the literature on genetic aspects of dental. Dental Caries Hereditary.
From clinicadentaledo.es
¿Cómo aparecen las caries dentales? CSDentalEdo Dental Caries Hereditary etiology of dental erosion and dental caries. advances towards the elucidation of the dental decay genetic basis may contribute to the understanding of the disease. current evidence supports the notion that there is an inherited variation in enamel development that is associated with. Mechanical and chemical processes, influencing each other, result. 30 rows this article reviews. Dental Caries Hereditary.
From www.myxxgirl.com
Caries Illustration Development Dental Model Cross Sectioned Showing Dental Caries Hereditary advances towards the elucidation of the dental decay genetic basis may contribute to the understanding of the disease. 30 rows this article reviews the literature on genetic aspects of dental caries and provides a. Mechanical and chemical processes, influencing each other, result. etiology of dental erosion and dental caries. this article reviews the literature on genetic. Dental Caries Hereditary.
From www.santainesdental.cl
La caries dental Santa Inés Clínica Odontológica Dental Caries Hereditary this article reviews the literature on genetic aspects of dental caries and provides a framework for the rapidly changing. dental caries is an infectious and multifactorial disease caused by. etiology of dental erosion and dental caries. the role of genetic factors on caries risk was evaluated by examining the relationship between genetic studies and bacteria,. Mechanical. Dental Caries Hereditary.
From medihelp365.com
Dental Caries/Tooth Caries or DecayKnow Cause, Prevention & Treatment Dental Caries Hereditary the role of genetic factors on caries risk was evaluated by examining the relationship between genetic studies and bacteria,. 30 rows this article reviews the literature on genetic aspects of dental caries and provides a. current evidence supports the notion that there is an inherited variation in enamel development that is associated with. dental caries is. Dental Caries Hereditary.
From clinicadentalmediterraneo.es
Tipos de caries dentales Clínica Dental Mediterráneo Dental Caries Hereditary etiology of dental erosion and dental caries. advances towards the elucidation of the dental decay genetic basis may contribute to the understanding of the disease. this article reviews the literature on genetic aspects of dental caries and provides a framework for the rapidly changing. current evidence supports the notion that there is an inherited variation in. Dental Caries Hereditary.
From www.odontologiavirtual.com
TOOTH DECAY Plays a Role Dental Caries Hereditary this article reviews the literature on genetic aspects of dental caries and provides a framework for the rapidly changing. the role of genetic factors on caries risk was evaluated by examining the relationship between genetic studies and bacteria,. etiology of dental erosion and dental caries. 30 rows this article reviews the literature on genetic aspects of. Dental Caries Hereditary.
From vivantdental.ca
Dental Caries (Cavities) Dentists in Surrey Vivant Dental Dental Caries Hereditary etiology of dental erosion and dental caries. current evidence supports the notion that there is an inherited variation in enamel development that is associated with. the role of genetic factors on caries risk was evaluated by examining the relationship between genetic studies and bacteria,. dental caries is an infectious and multifactorial disease caused by. Mechanical and. Dental Caries Hereditary.
From pocketdentistry.com
Radiology of Dental Caries Pocket Dentistry Dental Caries Hereditary Mechanical and chemical processes, influencing each other, result. this article reviews the literature on genetic aspects of dental caries and provides a framework for the rapidly changing. advances towards the elucidation of the dental decay genetic basis may contribute to the understanding of the disease. etiology of dental erosion and dental caries. the role of genetic. Dental Caries Hereditary.
From www.vectorstock.com
Stages of caries development tooth structure Vector Image Dental Caries Hereditary advances towards the elucidation of the dental decay genetic basis may contribute to the understanding of the disease. this article reviews the literature on genetic aspects of dental caries and provides a framework for the rapidly changing. current evidence supports the notion that there is an inherited variation in enamel development that is associated with. the. Dental Caries Hereditary.
From soluciondentalembajadores.es
Qué son las caries dentales, causas y tratamientos Solución Dental Dental Caries Hereditary the role of genetic factors on caries risk was evaluated by examining the relationship between genetic studies and bacteria,. current evidence supports the notion that there is an inherited variation in enamel development that is associated with. advances towards the elucidation of the dental decay genetic basis may contribute to the understanding of the disease. this. Dental Caries Hereditary.
From www.mediologiest.com
Dental caries Definition, Causes, Symptoms and Treatment Mediologiest Dental Caries Hereditary the role of genetic factors on caries risk was evaluated by examining the relationship between genetic studies and bacteria,. etiology of dental erosion and dental caries. Mechanical and chemical processes, influencing each other, result. this article reviews the literature on genetic aspects of dental caries and provides a framework for the rapidly changing. dental caries is. Dental Caries Hereditary.
From estudidentalbarcelona.com
Qué es la caries dental y cómo prevenirla ED Barcelona Dental Caries Hereditary advances towards the elucidation of the dental decay genetic basis may contribute to the understanding of the disease. Mechanical and chemical processes, influencing each other, result. the role of genetic factors on caries risk was evaluated by examining the relationship between genetic studies and bacteria,. 30 rows this article reviews the literature on genetic aspects of dental. Dental Caries Hereditary.
From checkbiotech.org
Symptoms and Treatments of Dental Caries Check Biotech First Dental Caries Hereditary etiology of dental erosion and dental caries. 30 rows this article reviews the literature on genetic aspects of dental caries and provides a. dental caries is an infectious and multifactorial disease caused by. current evidence supports the notion that there is an inherited variation in enamel development that is associated with. Mechanical and chemical processes, influencing. Dental Caries Hereditary.
From mavink.com
Dental Caries X Ray Dental Caries Hereditary 30 rows this article reviews the literature on genetic aspects of dental caries and provides a. advances towards the elucidation of the dental decay genetic basis may contribute to the understanding of the disease. etiology of dental erosion and dental caries. this article reviews the literature on genetic aspects of dental caries and provides a framework. Dental Caries Hereditary.
From clinicadentaltacna.cl
Caries Dental Tipos Y Tratamientos Clinica Dental Tacna Dental Caries Hereditary 30 rows this article reviews the literature on genetic aspects of dental caries and provides a. dental caries is an infectious and multifactorial disease caused by. this article reviews the literature on genetic aspects of dental caries and provides a framework for the rapidly changing. Mechanical and chemical processes, influencing each other, result. etiology of dental. Dental Caries Hereditary.
From naturalsolutionsmag.com
What Is Dental Caries Dental Caries Hereditary this article reviews the literature on genetic aspects of dental caries and provides a framework for the rapidly changing. etiology of dental erosion and dental caries. Mechanical and chemical processes, influencing each other, result. advances towards the elucidation of the dental decay genetic basis may contribute to the understanding of the disease. dental caries is an. Dental Caries Hereditary.
From pocketdentistry.com
18. Dental Caries Pocket Dentistry Dental Caries Hereditary the role of genetic factors on caries risk was evaluated by examining the relationship between genetic studies and bacteria,. Mechanical and chemical processes, influencing each other, result. 30 rows this article reviews the literature on genetic aspects of dental caries and provides a. advances towards the elucidation of the dental decay genetic basis may contribute to the. Dental Caries Hereditary.